|
- Structure type: Dual-screen trolley type, 21.5” large screen, 13.3” touch screen.
- Screen Fold-able, panel height adjustable
Purpose and applications:
To meet the basic hospitals in the abdomen, obstetrics, gynecology, heart, urinary system, small organs, superficial, blood vessels, pediatrics, neonatal, muscle, physical examination and other inspections and diagnosis.
Specifications:
- Operating system: Windows 10
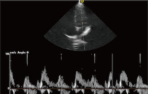
- Pulse Wave Doppler
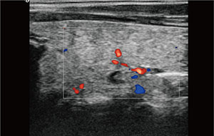
- Directional Energy Doppler
- Real-time triple synchronization
- Spatial Composite Imaging
- Tissue Harmonic Imaging
- 2B/4B Imaging
- Support system languages: Chinese, English, French, Russian, Spanish.
- Standard monitor size: 21.5 inch, high-definition medical grade LCD display, and 13.3 inch touch screen
- Integrated clipboard: display the saved images at the bottom of the screen, which can be directly transferred or deleted
- With on-site upgradeable functions
- Preset conditions: For different inspections, preset inspection conditions for optimized images, reducing adjustments during operation, and commonly required external adjustments and combined adjustments
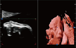
- Support real-time 3D imaging function (3D/4D real skin)
- Probe ports: 4 active
- Trapezoidal Imaging
- One-key auto optimization
Probes:
- Convex probe: 2.5MHz/3.0MHz/3.5MHz/4.0MHz/H4.0MHz/H5.0MHz
- Linear probe: 6.0MHz/7.5MHz/8.5MHz/10.0MHz/H10.0MHz
- Trans-vaginal probe: 4.5MHz/6.0MHz/7.0MHz/9.0MHz/H8.0MHz
- Phased array probe: 2.5MHz/3.0MHz/3.5MHz/4.0MHz/H3.0MHz/H4.0MHz,
- 4D Volume probe: 2.0MHz/3.0MHz/4.5MHz/6.0MHz/H5.0MHz,
- Micro convex probe (R15): 4.0MHz/6.0MHz/7.0MHz/8.0MHz/H8.0Mhz,
Clinical Images:
 
 
  |
|